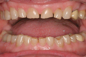
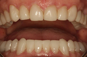
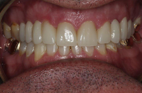
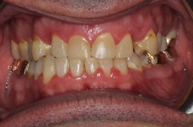
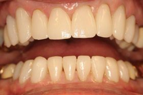
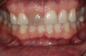
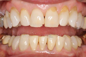
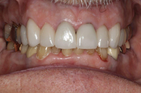
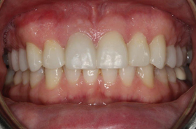
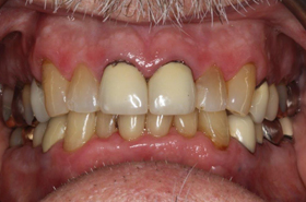
Get Inspired by Our Boulder Smile Gallery

At Alber Dental Studio, we hear from patients all the time about what they’d like to change about their smile. You probably have thought the same thing when you look in the mirror. Now it’s time to do something about it! Browse our Boulder smile gallery to find out what’s possible for your own smile. We’ve transformed the appearance of many patients and can’t wait to help you with yours.

Schedule an appointment by calling (303) 449-3132 today. You can also check out our patient testimonials to see why so many patients love our practice. Before you know it, you’ll be part of our smile gallery too!